Apa Obat Gatal-Gatal Paling Ampuh Pada Kulit Sensitip- Penyebab gatal-gatal pada kulit ada banyak dan bervariasi, namun biasanya penyebab utama gatal pada kulit adalah karena bakteri-bakteri yang menumpuk di kulit. Maka dari itu tak heran jika orang yang kurang memperhatikan kebersihan tubuhnya akan lebih mudah terkena gatal-gatal. Bahkan jika disepelekan, gatal-gatal pada kulit bisa menjadi penyakit kulit yang lebih parah seperti dermatitis. Nah, selain bisa diakibatkan oleh bakteri, gatal-gatal pada kulit juga bisa terjadi karena alergi. Lalu kalau sudah terkena gatal-gatal, obat kulit gatal apa yang paling pas untuk anda gunakan ? anda tidak usah bingung untuk memilih obat gatal, gunakan pengobatan gatal-gatal yang obat tersebut terbuat dari bahan herbal alami, dengan menggunakan pengobatan gatal herbal resiko dalam pengobatan tidak akan anda alami, segera lakukan konsultasi dan pemesanan obat bersama pengobatan herbal de nature, insya alloh gatal-gata-l kulit yang anda alami akan sembuh total dan gatal tidak kambuh lagi, hubungi Customer Service De Nature di 0823-1338-8530 / 0877-3667-6665 atau BBM d092d2d4.
Eksim
Eksim atau Dermatitis adalah istilah kedokteran untuk kelainan kulit yang mana kulit tampak meradang dan iritasi. Keradangan ini bisa terjadi dimana saja namun yang paling sering terkena adalah tangan dan kaki. Jenis eksim yang paling sering dijumpai adalah eksim atopik atau dermatitis atopik. Gejala eksim akan mulai muncul pada masa anak anak terutama saat mereka berumur diatas 2 tahun. Pada beberapa kasus, eksim akan menghilang dengan bertambahnya usia, namun tidak sedikit pula yang akan menderita seumur hidupnya. Dengan pengobatan yang tepat, penyakit ini dapat dikendalikan dengan baik sehingga mengurangi angka kekambuhan.
Penyebab eksim
Penyebab dari eksim sebenarnya belum diketahui dengan pasti, namun beberapa ahli mencurigai eksim berhubungan dengan aktifitas daya pertahanan tubuh (imun) yang berlebihan. Hal ini menyebabkan tubuh mengalami reaksi berlebihan terhadap bakteri atau iritan yang sebenarnya tidak berbahaya pada kulit. Oleh karena itu, eksim banyak ditemukan pada keluarga dengan riwayat penyakit alergi atau asma.
Tiap tiap orang mempunyai pencetus eksim yang berbeda beda. Ada orang yang setelah memegang sabun atau deterjen akan merasakan gatal yang luar biasa, ada pula yang disebabkan oleh bahan atau alat rumah tangga yang lain. Gejala yang timbul pun bervariasi, ada yang gatalnya ringan tetapi rasa panas yang dominan, ada pula yang sebaliknya. Infeksi saluran nafas bagian atas atau flu juga bisa menjadi pencetus timbulnya eksim. Stress yang dialami penderita akan membuat gejala menjadi lebih buruk.
Gejala Eksim
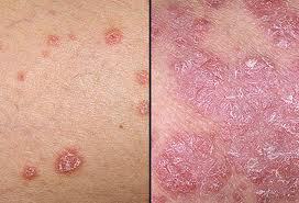
Dimanapun lokasi timbulnya eksim, gejala utama yang dirasakan pasien adalah gatal. Terkadang rasa gatal sudah muncul sebelum ada tanda kemerahan pada kulit. Gejala kemerahan biasanya akan muncul pada wajah, lutut, tangan dan kaki, namun tidak menutup kemungkinan kemerahan muncul di daerah lain.
Daerah yang terkena akan terasa sangat kering, menebal atau keropeng. Pada orang kulit putih, daerah ini pada mulanya akan berwarna merah muda lalu berubah menjadi cokelat. Sementara itu pada orang dengan kulit lebih gelap, eksim akan mempengaruhi pigmen kulit sehingga daerah eksim akan tampak lebih terang atau lebih gelap.
Meskipun penyembuhan eksim sangat sulit dilakukan, namun pada banyak kasus, pasien dapat mengurangi terjadinya kekambuhan dengan melakukan pengobatan yang tepat dan menghindari iritan/alergen yang menyebabkan eksim. Perlu diingat, penyakit ini tidak menular dan tidak akan menyebar dari satu orang ke orang yang lain.
Pengobatan eksim
Tujuan utama dari pengobatan adalah menghilangkan rasa gatal untuk mencegah terjadinya infeksi. Ketika kulit terasa sangat kering dan gatal, lotion dan krim pelembab sangat dianjurkan untuk membuat kulit menjadi lebih lembab. Tindakan ini biasanya dilakukan saat kulit masih sedikit basah, seperti saat habis mandi sehingga lotion yang dioleskan akan mempertahankan kelembaban kulit. Kompres dingin juga diduga dapat mengurangi rasa gatal yang terjadi.
Salep atau krim yang mengandung kortikosteroid seperti hydrokortison diberikan untuk mengurangi proses inflamasi atau keradangan. Untuk kasus kasus yang berat, dokter akan memberikan tablet kortikosteroid dan apabila pada daerah eksim telah terinfeksi maka bisa diberikan antibiotika untuk membunuh bakteri penyebab infeksi. Obat lain yang dibutuhkan adalah antihistamin untuk mengurangi rasa gatal yang terlalu berat, dan cyclosporin untuk penderita yang tidak berespon terhadap semua jenis pengobatan yang diberikan.
Eksim atau Dermatitis adalah istilah kedokteran untuk kelainan kulit yang mana kulit tampak meradang dan iritasi. Keradangan ini bisa terjadi dimana saja namun yang paling sering terkena adalah tangan dan kaki. Jenis eksim yang paling sering dijumpai adalah eksim atopik atau dermatitis atopik. Gejala eksim akan mulai muncul pada masa anak anak terutama saat mereka berumur diatas 2 tahun. Pada beberapa kasus, eksim akan menghilang dengan bertambahnya usia, namun tidak sedikit pula yang akan menderita seumur hidupnya. Dengan pengobatan yang tepat, penyakit ini dapat dikendalikan dengan baik sehingga mengurangi angka kekambuhan.
Penyebab eksim
Penyebab dari eksim sebenarnya belum diketahui dengan pasti, namun beberapa ahli mencurigai eksim berhubungan dengan aktifitas daya pertahanan tubuh (imun) yang berlebihan. Hal ini menyebabkan tubuh mengalami reaksi berlebihan terhadap bakteri atau iritan yang sebenarnya tidak berbahaya pada kulit. Oleh karena itu, eksim banyak ditemukan pada keluarga dengan riwayat penyakit alergi atau asma.
Tiap tiap orang mempunyai pencetus eksim yang berbeda beda. Ada orang yang setelah memegang sabun atau deterjen akan merasakan gatal yang luar biasa, ada pula yang disebabkan oleh bahan atau alat rumah tangga yang lain. Gejala yang timbul pun bervariasi, ada yang gatalnya ringan tetapi rasa panas yang dominan, ada pula yang sebaliknya. Infeksi saluran nafas bagian atas atau flu juga bisa menjadi pencetus timbulnya eksim. Stress yang dialami penderita akan membuat gejala menjadi lebih buruk.
Gejala Eksim
Dimanapun lokasi timbulnya eksim, gejala utama yang dirasakan pasien adalah gatal. Terkadang rasa gatal sudah muncul sebelum ada tanda kemerahan pada kulit. Gejala kemerahan biasanya akan muncul pada wajah, lutut, tangan dan kaki, namun tidak menutup kemungkinan kemerahan muncul di daerah lain.
Daerah yang terkena akan terasa sangat kering, menebal atau keropeng. Pada orang kulit putih, daerah ini pada mulanya akan berwarna merah muda lalu berubah menjadi cokelat. Sementara itu pada orang dengan kulit lebih gelap, eksim akan mempengaruhi pigmen kulit sehingga daerah eksim akan tampak lebih terang atau lebih gelap.
Meskipun penyembuhan eksim sangat sulit dilakukan, namun pada banyak kasus, pasien dapat mengurangi terjadinya kekambuhan dengan melakukan pengobatan yang tepat dan menghindari iritan/alergen yang menyebabkan eksim. Perlu diingat, penyakit ini tidak menular dan tidak akan menyebar dari satu orang ke orang yang lain.
Pengobatan eksim
Tujuan utama dari pengobatan adalah menghilangkan rasa gatal untuk mencegah terjadinya infeksi. Ketika kulit terasa sangat kering dan gatal, lotion dan krim pelembab sangat dianjurkan untuk membuat kulit menjadi lebih lembab. Tindakan ini biasanya dilakukan saat kulit masih sedikit basah, seperti saat habis mandi sehingga lotion yang dioleskan akan mempertahankan kelembaban kulit. Kompres dingin juga diduga dapat mengurangi rasa gatal yang terjadi.
Salep atau krim yang mengandung kortikosteroid seperti hydrokortison diberikan untuk mengurangi proses inflamasi atau keradangan. Untuk kasus kasus yang berat, dokter akan memberikan tablet kortikosteroid dan apabila pada daerah eksim telah terinfeksi maka bisa diberikan antibiotika untuk membunuh bakteri penyebab infeksi. Obat lain yang dibutuhkan adalah antihistamin untuk mengurangi rasa gatal yang terlalu berat, dan cyclosporin untuk penderita yang tidak berespon terhadap semua jenis pengobatan yang diberikan.
Pencegahan penyakit eksim
Munculnya eksim dapat dihindari dengan melakukan beberapa tips dibawah ini :
- Jaga kelembaban kulit.
- Hindari perubahan suhu dan kelembaban yang mendadak.
- Hindari berkeringat terlalu banyak atau kepanasan.
- Kurangi Stress.
- Hindari pakaian yang menggunakan bahan yang menggaruk seperti wool dan lain lain.
- Hindari sabun dengan bahan yang terlalu keras, deterjen dan larutan lainnya.
- Hindari faktor lingkungan lain yang dapat mencetuskan alergi seperti serbuk bunga, debu, bulu binatang dan lain lain.
- Hati hati dalam memilih makanan yang bisa menyebabkan alergi.
Obat Gatal De Nature Yang Telah Terkenal AMPUH;
Produk
dari De Nature Indonesia semuanya telah terdaftar resmi di Departement
Kesehatan (DEPKES) dan juga telah mengantongi izin edar dari BPOM RI
(Badan Pengawasan Obat dan Makanan). Sehingga, anda tidak perlu khawatir
akan efek samping yang berbahaya apabila mengkonsumsi obat herbal dari
kami. Semua obat terbuat dari 100% bahan alami yang diolah secara modern
dengan riset dan penelitian dari para Dokter dan juga Ahli Herbal De
Nature Indonesia.
Hanya dengan Rp 295000,-
semua masalah anda teratasi dengan aman.
Obat gatal De Nature Indonesia Sudah Terbukti Nomor Satu Paling Ampuh Dalam
mengatasi penyakit gatal anda, Selain ampuh Obat herbal De Nature aman
dan tanpa efek samping. karena Obat gatal De Nature terbuat 100% dari
bahan herbal yang di ambil dari alam.
Aturan pakai
- Kapsul bersih darah diminum 3 x 3 kapsul sehari
- Salep eksim dioles 2x sehari (pagi dan malam menjelang tidur)
Harga obat gatal di atas belum termasuk ongkos kirim.
Pantangan selama minum obat eksim De Nature
- Hindari makanan yang terbuat dari kacang-kacangan, karena menurut seorang ahli gizi, Mansi Belani, kacang menyebabkan reaksi alergi seperti gangguan pada masalah perut, dan ruam pada kulit.
- Kurangi konsumsi ikan dan daging. Ikan dan daging dapat menimbulkan reaksi alergi untuk sebagian orang.
- Susu sapi sebenarnya sangat bagus untuk kesehatan tetapi yang mempunyai masalah dengan kulit sebaiknya jangan dikonsumsi. Protein kasein dikenal sebagai alergen utama dapat merangsang reaksi alergi lain termasuk sakit perut, gerakan longgar, rasa mual, dan lainnya.
- Pantangan yang lainnya adalah tepung terigu. Gluten gandum dikatakan alergen mempercepat gejala penyakit celiac. (celiac adalah suatu kondisi yang merusak lapisan usus kecil dan mencegah dari menyerap nutrisi penting).
KELEBIHAN BELANJA ONLINE PADA KAMI (DE NATURE INDONESIA)
- Setiap penyakit berbeda obatnya, jd obat kami khusus untuk penyakit itu sendiri!
- Harga lebih murah
- Kualitas terbaik
- Tanpa perlu pergi ke dokter (tidak malu saat ke dokter, hemat waktu, dll)
- Tidak perlu disuntik
- Masa penyembuhannya singkat
- Proses obat hanya 6 jam
- Proses pengiriman cepat dan aman
- Hanya kami yang selalu mengutamakan ke puasan konsumen
- Barang di kitim lewat Tiki, JNE Kilat dibungkus rapi.
0857 3920 xxxx (sms pasien kami dari pulau Bali)
Saya
kena Gatal eksim sudah seminggu lebih saya sangat khawatir banget
dengan penyakit saya ini, apalagi dengan keluarga saya. lalu saya coba
nyari informasi di internet dan saya nemukan alamat web ini,lalu saya
coba kontek ke nomer setelah saya coba konsultasi dan minta sarannya
saya disarankan minum obat khusus penyakit gatal eksim, setelah saya
mengkonsumsi baru 2 hari rasa gatal sudah hilang. Saya nggak tahu
bagaimana nasib saya seandainya saya tidak segera diobati terimakasih
bos semoga kedepannya semakin maju dan jaya selalu.
081 365 663 xxx (sms pasien kami dari Surabaya)
Pagi
mas, terimakasih banyak. Obat gatal yang saya beli kemarin emang bagus,
teman saya dari batam juga mau beli. Sekali lagi terimakasih
085 247 210 xxx (sms pasien kami dari Sampit Kalteng)
Alhamdulillah, sekarang saya sudah sehat mas. Saya menawarkan ke teman dan mau beli 4 paket ke Kal-teng. Terimakasih mas
08213776xxx (maaf, disamarkan)
Teman
saya pernah terkena gatal eksim, sangat mengerikan. Tiap hari gatal
pokoknya tersiksa sekali. Tapi setelah minum obat gatal selangkangan
dalam waktu 2 hari sudah kering. Mantap banget !!
082 137 766 xxx (maaf, nama disamarkan)
Teman
saya pernah terkena gatal,sangat mengerikan dan menjijikan. Tiap
menggaruk garuk tangan dan kakinya karna gatal, pokoknya tersiksa
sekali. Tapi setelah minum obat gatal De natur, dalam waktu 2 hari sudah
kering. Mantap banget
Cara membeli produk De Nature;
Jika
memang anda berminat menggunakan produk obat kualitas kami silahkan
konsultasikan dulu masalah anda, dan jika memang sudah melakukan dan
anda berminak anda bisa melakukan pembayaran terlebih dahulu melalui
transfer via bank kami;
Jika ada yang mengatas namakan De Nature Indonesia pastikan no bank atas nama "Awan Ukaya",
karena kami De Natur tidak membuka cabang di manapun juga.
Usahakan
segera lakukan konfirmasi setelah anda melakukan pembayaran, agar
pesanan anda sesegera mungkin kami proses untuk pengiriman.
Pengiriman Barang Anda;
untuk pengiriman kami menggunakan jasa kirim kilat JNE, TIKI dan POS Indonesia;
De Nature memastikan barang anda sampai ke alamat anda dan
De Nature memberikan Jaminan.
Anda
tidak perlu khewatir dengan kami "apakah pesanan anda di kirim atau
tidak" kami akan kirimkan resi pengiriman barang anda melalui BBM atau
WA. jika anda meminta, atau anda juga bisa mengeceknya sendiri di WEb
TIKI, JNE atau Indonesia.
Selain itu dari kami De Nature Indonesia juga memberikan jaminan penuh pada pasien kami,
Jika barang tidak sampai kami De Nature akan mengembalikan uang anda 100%.
Jika memang masih ada yang perlu di pertanyakan tentang pengobatan gatal-gatal pada kulit silahkan anda hubungi Customer Service kami kembali.









Posting Komentar